SIÊU ÂM CHẨN ĐOÁN BẤT THƯỜNG HỒI LƯU TĨNH MẠCH PHỔI TOÀN PHẦN
Biên soạn: Bs. Giáp Hoàng Anh
Hiệu đính: Bs. Nguyễn Quang Trọng
Xem phải PDF
I. Tổng quan:
- Total Anomalous Pulmonary Venous Return (TAPVR): bất thường hồi lưu tĩnh mạch phổi toàn phần
= Total Anomalous Pulmonary Venous Connections (TAPVC): Bất thường kết nối tĩnh mạch phổi toàn phần.
- Persistent left superior vena cava: Tồn tại tĩnh mạch chủ trên trái.- Brachiocephalic veins (innominate veins): Tĩnh mạch cánh tay-đầu (tĩnh mạch vô danh).
- Vertical vein: Tĩnh mạch dọc (tĩnh mạch đứng thẳng).
- Descending vertical vein: Tĩnh mạch dọc xuống.
- Ascending vertical vein: Tĩnh mạch dọc lên.
- Confluent vein: Tĩnh mạch hợp lưu (tĩnh mạch thu thập).
Bất thường hồi lưu tĩnh mạch phổi toàn phần là một dị tật tim bẩm sinh, trong đó cả 4 tĩnh mạch phổi đều không trực tiếp đổ vào nhĩ trái, mà lại đổ về một tĩnh mạch hệ thống hoặc về nhĩ phải. Do vậy sau sinh máu giàu oxy từ phổi lại đổ về tim phải, nên sự tồn tại và độ rộng của lỗ bầu dục hoặc lỗ thông liên nhĩ thứ phát giúp cho máu giàu oxy từ nhĩ phải sang nhĩ trái rất quan trọng cho sự sống của trẻ sau khi sinh.
Trong trường hợp tĩnh mạch phổi đổ lạc chỗ hoàn toàn thì toàn bộ máu tĩnh mạch hệ thống và máu tĩnh mạch phổi đều dồn vào nhĩ phải làm giãn các buồng tim phải, ảnh hưởng đến các nguy cơ rối loạn nhịp tim, rối loạn chức năng thất phải, suy tim phải, tăng lưu lượng máu lên phổi, giãn và tăng áp động mạch phổi, trong khi đó các buồng tim trái và động mạch chủ sẽ thiểu sản.
* Có 4 thể bất thường kết nối tĩnh mạch phổi toàn phần (hình 1):
a. Thể trên tim (type I, Supracardiac): Các tĩnh mạch phổi đổ vào một thân chung tĩnh mạch phía trên tim (55%) tĩnh mạch hội lưu sau đó thường đổ vào tĩnh mạch chủ trên rồi đổ về nhĩ phải. (Hình.1B)
b. Thể tại tim (type II, Cardiac): Các tĩnh mạch phổi đổ trực tiếp vào nhĩ phải (right atrium) hoặc vào xoang vành (coronary sinus) (30%). (Hình 1C)
c. Thể dưới tim (type III, Infracardiac): Các tĩnh mạch phổi đổ vào tĩnh mạch chủ dưới (Scimitar syndrome) hoặc thân tĩnh mạch cửa, đôi khi đổ vào ống Arantius (12%). (Hình.1D)
d. Thể hỗn hợp (type IV, Mixed): Hỗn hợp các vị trí khác thông qua hai hoặc nhiều hơn các vị trí trên (3%).
II. Siêu âm chẩn đoán:
2.1 Siêu âm 2D chẩn đoán TAPVR trước sinh:
Hình ảnh bốn buồng tim mất cân đối, tim phải lớn hơn tim trái, do nhĩ phải nhận máu nhiều hơn từ các tĩnh mạch phổi lạc chỗ đổ về. Vách liên nhĩ lồi vào buồng nhĩ trái, đặc biệt thấy rõ trong 3 tháng cuối của thai kỳ.
Một trong những hình ảnh chính trong chẩn đoán là khảo sát kỹ mặt cắt 4 buồng tim. Trong nhiều trường hợp thấy hình ảnh một cấu trúc ống phía sau tâm nhĩ trái, được gọi là tĩnh mạch hợp lưu (confluent vein). Trong TAPVR không có tĩnh mạch phổi nào đổ vào nhĩ trái, mà chúng đổ vào tĩnh mạch hợp lưu (confluent vein).
Các hướng của tĩnh mạch hợp lưu sẽ gợi ý chẩn đoán:
- Tĩnh mạch hợp lưu (confluent vein) đổ vào tĩnh mạch dọc lên (ascending vertical vein), có chiều hướng dòng chảy lên trên, gặp ở thể trên tim (supracardiac), chiều dòng chảy của tĩnh mạch dọc (vertical vein) ngược với chiều của tĩnh mạch chủ trên (SVC).
- Tĩnh mạch hợp lưu (confluent vein) đổ vào tĩnh mạch dọc xuống (descending vertical vein), có chiều hướng dòng chảy xuống dưới, gặp thể dưới tim (infracardiac), chiều của tĩnh mạch dọc (vertical vein) lúc này cùng chiều với động mạch chủ xuống (DAO).
- Tĩnh mạch hợp lưu có thể kết nối trực tiếp với nhĩ phải hoặc xoang vành trong thể tại tim (cardiac).TAPVR thường liên quan đến kiểu hình bên phải (right isomerism) hoặc kiểu hình bên trái (left isomerism), hình ảnh ở mặt cắt 4 buồng còn phụ thuộc vào tổn thương tim đi kèm.
2.2 Siêu âm Doppler màu chẩn đoán TAPVR trước sinh:Siêu âm Doppler màu và Doppler xung rất có ý nghĩa trong TAPVR. Khi nghi ngờ có tĩnh mạch hợp lưu phía sau nhĩ trái ở mặt cắt 4 buồng nên sử dụng Doppler màu với thang vận tốc màu thích hợp (Ghi chú của người hiệu đính: theo guidelines 2013 của ISUOG, với dòng chảy tĩnh mạch phổi, thang vận tốc màu nên để ở mức 30 cm/s). Điều chỉnh thang tốc độ màu là rất cần thiết để tránh chẩn đoán sai và dương tính giả. Kiểm tra hỉnh ảnh phổ Doppler xung của tĩnh mạch phổi bất thường so sánh với tĩnh mạch phổi bình thường có vận tốc khác nhau không cũng là một gợi ý. Các kết nối bất thường của tĩnh mạch phổi cũng có thể phát hiện ở Doppler màu mặt cắt theo trục dọc cơ thể.


Hình 1: (A): Hình ảnh giải phẫu sự kết nối bình thường của 4 tĩnh mạch phổi với tâm nhĩ trái. (B): Bất thường kết nối tĩnh mạch phổi toàn phần thể trên tim (Supracardiac). (C) Thể tại tim (Cardiac). (D): Thể dưới tim (infracardiac).

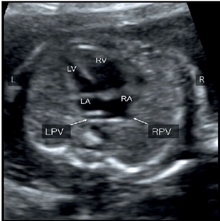
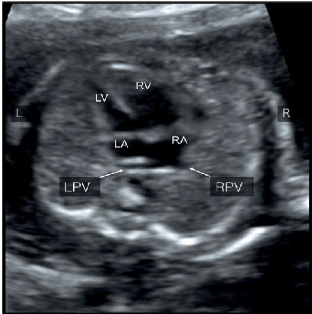
Hình 2: Mặt cắt ngang 4 buồng tim: Hình ảnh bất thường hồi lưu tĩnh mạch phổi toàn phần (TAPVR) thể trên tim (type I: supracardiac). Hình phóng to phía sau tâm nhĩ trái B và C. Lưu ý tâm thất phải (RV) và nhĩ phải (RA) lớn hơn tâm nhĩ trái (LV) và thất trái (LA) do tĩnh mạch phổi gián tiếp đổ vào nhĩ phải. Cả hai tĩnh mạch phổi phải (RPV) và tĩnh mạch phổi trái (LPV) đều không đổ vào nhĩ trái mà đổ vào tĩnh mạch hội lưu (confluent vein) “mũi tên rỗng”.

Hình 3: Mặt cắt ngang ngực 4 buồng tim. Hình ảnh bất thường hồi lưu tĩnh mạch phổi hoàn toàn (TAPVR). Chú ý, tĩnh mạch thu thập (confluent vein) phía sau tâm nhĩ trái (LA) nơi mà cả 4 tĩnh mạch phổi đổ gộp vào. Tĩnh mạch thu thập cùng với các tĩnh mạch phổi cho ra “dấu hiệu nhánh con” (“twig sign”). Hình ảnh 4 buồng tim trong hình vẽ là bình thường, nhưng trong nhiều trường hợp của TAPVR sẽ có hình ảnh tâm nhĩ trái hẹp và tâm thất trái hẹp hơn so tâm nhĩ phải và tâm thất phải.

Hình 4: Mặt cắt ngang ngực 4 buồng tim. Thai nhi (A) và thai nhi (B) đều có bất thường hồi lưu tĩnh mạch phổi toàn phần (TAPVR). Lưu ý hình ảnh tĩnh mạch thu thập (confluent vein) ở phía sau tim nơi các tĩnh mạch phổi (PV) đổ vào, thay vì đổ vào tâm nhĩ trái. Ngoài TAPVR ở thai (A) còn có mỏm tim bên phải (dextrocardia) và kiểu hình bên phải (right isomerism), ở thai (B) còn có thiểu sản sản tim trái (hypoplastic left heart syndrome).

Hình 5: Hình ảnh mặt cắt ngang ngực 4 buồng tim, Doppler màu ở hai thai (A) và (B) đều có TAPVR, mỏm tim bên phải (dextrocardia) và kiểu hình bên phải (right isomerism). Lưu ý sự có mặt của các tĩnh mạch thu thập (confluent vein) phía sau tim. Doppler màu nên để ở thang vận tốc thích hợp và gain thấp để tách biệt rõ ràng giữa thành sau thất trái và tĩnh mạch thu thập (confluent vein).
Thể trên tim (type I: supracardiac)Là bất thường phổ biến nhất của bất thường kết nối tĩnh mạch phổi toàn phần. Cả 4 tĩnh mạch phổi kết nối với nhau tạo nên tĩnh mạch thu thập (confluent vein) phía sau tâm nhĩ trái sau đó kết nối qua tĩnh mạch dọc trên (vertical vein) rồi đổ vào tĩnh mạch cánh tay đầu hoặc tĩnh mạch vô danh rồi cuối cùng đổ về tĩnh mạch chủ trên để về nhĩ phải (Hình1B).
Tình trạng này có thể quan sát thấy bằng cách phát hiện thấy tĩnh mạch hợp lưu phía sau nhĩ trái (Hình 1B). Tại mặt cắt 3 mạch máu - khí quản, ta có thể thấy một mạch máu thứ tư đó là tĩnh mạch dọc, nó được nhìn thấy ở vị trí giải phẫu giống như một tĩnh mạch chủ trên bên trái (LSVC) (Hình 1B). Nhưng trong tồn tại tĩnh mạch chủ trên trái (PLSVC), máu từ tĩnh mạch cổ trong trái (left internal jugular vein) chảy theo chiều từ trên xuống thông qua LSVC về tim, còn dòng máu trong tĩnh mạch dọc trên trong thể trên tim của TAPVR lại chảy theo chiều ngược lại từ tim lên phía đầu. Doppler màu trên mặt cắt 3 mạch máu khí quản cho phép ta đánh giá chiều dòng chảy của các cấu trúc giải phẫu này.
Hơn nữa, các tĩnh mạch cánh tay đầu trái là giãn lớn đáng kể trong TAPVR (Hình 10) khi so sánh với LSVC thì tĩnh mạch cánh tay đầu trái (left brachiocephalic vein) thường vắng mặt, hoặc nếu có thì rất nhỏ. Doppler màu trong một mặt phẳng dọc của ngực có thể chứng minh các tĩnh mạch phổi đổ vào tĩnh mạch thu thập (confluent vein) và tĩnh mạch dọc (Hình 5). Doppler xung thể hiện mô hình sóng tĩnh mạch phổi bất thường trong TAPVR (Hình 6). Một dạng khác của TAPVC là hình ảnh cả 4 tĩnh mạch phổi kết nối trực tiếp với tĩnh mạch chủ trên. Dạng này cũng làm cho tĩnh mạch chủ trên giãn to trong mặt cắt 3 mạch máu – khí quản.

Hình 6: Phổ Doppler của tĩnh mạch phổi (A), Tĩnh mạch hợp lưu (B), và các tĩnh mạch dọc (C) ở thai nhi có hồi lưu tĩnh mạch phổi bất thường toàn phần (TAPVR). Lưu ý rằng dạng sóng Doppler thường không bình thường với dòng chảy không liên tục. So sánh với dòng tĩnh mạch phổi bình thường thể hiện trong hình 7.

Hình 7: Phổ Doppler xung thể hiện dòng chảy bình thường của tĩnh mạch phổi đổ về nhĩ trái.

Hình 8: (A) Hình ảnh Doppler màu mặt cắt ngang ngực thai thi có bất thường hồi lưu tĩnh mạch phổi toàn phần (TAPVR). Chú ý tĩnh mạch phổi phải (RPV) và tĩnh mạch phổi trái (LPV) không đổ vào nhĩ trái mà đổ vào tĩnh mạch thu thập (confluent vein), ngăn cách với nhĩ trái bởi một dải mỏng. (B) Tịnh tiến đầu dò về phía đầu thai nhi thấy hình ảnh mặt cắt ngang tĩnh mạnh đứng dọc (vertical vein) ở trong lồng ngực (mũi tên rỗng).

HÌnh 9: (A) Sơ đồ bất thường hệ thống hồi lưu tĩnh mạch phổi hoàn toàn. (B) mặt cắt ngang ngực của thể trên tim (type I: supracardiac – TAPVR). Hình ảnh B tương ứng với mặt cắt theo đường màu xanh ở hình A. Mũi tên xanh chỉ hướng dòng máu ở tĩnh mạch dọc (vertical vein) chảy vào tĩnh mạch chủ trên (SVC). Hình B cho thấy hình ảnh tĩnh mạnh dọc (vertical vein) nằm ở bên trái động mạch phổi (PA) và tĩnh mạch chủ trên (SVC) nằm ở bên phải động mạch chủ (AO). Doppler màu cho thấy chiều cùa dòng máu trong tĩnh mạch chủ trên (SVC) và tĩnh mạch đứng dọc (vertical vein) là ngược nhau. Điều này trái ngược với dòng máu trong tồn tại tĩnh mạch chủ trên trái (Persistent left superior vena cava PLSVC: Dòng màu trong tĩnh mạch chủ trên trái cùng chiều với dòng máu tĩnh mạch chủ trên phải -RSVC, cùng hướng về tim). RA: tâm nhĩ phải; LA: tâm nhĩ trái; IVC: tĩnh mạch chủ dưới.

Hình 10: Doppler màu mặt cắt ngang ngực thai nhi ở mức tĩnh mạch cánh tay đầu trái (Left branchiocephalic vein) của thai nhi TAPVR thể trên tim. Hình ảnh thể hiện sự ra tăng lưu lượng máu từ tĩnh mạch phổi. Chú ý Doppler màu (B) thể hiện chiều dòng chảy trong tĩnh mạch cánh tay đầu từ trái qua phải về phía tĩnh mạch chủ trên (SVC). So sánh với tĩnh mạch cánh tay đầu bình thường (Hình.11). Tr: khí quản; L: trái; R: phải.

Hình 11: A & B mặt cắt ngang vị trí trung thất trên, cao hơn so với mặt cắt 3 mạch máu-khí quản. Hình ảnh tĩnh mạch cánh tay đầu trái (left brachiocephalic vein - LBCV). Chú ý vị trí giải phẫu của tĩnh mạch cánh tay đầu trái: Tuyến ức (Thy) ở phía trước và 3 động mạch tay đầu (three brachiocephalic arteries - BCA) ở phía sau. Tr: khí quản; L: trái; R: phải.

Hình 12: Hình ảnh thai nhi có bất thường hồi lưu tĩnh mạch phổi toàn phần thể trên tim (supracardiac) (A) Sơ đồ 4 tĩnh mạch phổi đổ vào tĩnh mạch hợp lưu (confluent vein); (B) hình ảnh mặt cắt tương ứng theo đường màu ở sơ đồ (A). Các mũi tên nhỏ ở A và B thể hiện tĩnh mạch phổi (PV) đổ vào tĩnh mạch hợp lưu (confluent vein - mũi tên lớn) sau đó đổ vào tĩnh mạch dọc (Vertical vein - vv - mũi tên rỗng) rồi đổ vào tĩnh mạch chủ trên (SVC) thay vì đổ vào nhĩ trái (LA). Hình ảnh 3D Doppler tương ứng (hình 13).

Hình 13: Siêu âm 3D Doppler màu của lồng ngực thai nhi có TAPVR – type I. Hình ảnh tĩnh mạch phổi hội lưu về tĩnh mạch dọc sau đó kết nối với tĩnh mạch cánh tay đầu (brachiocephalic vein) chứ không phải đổ vào tâm nhĩ trái (LA). PV: tĩnh mạch phổi; PA: động mạch phổi.
Thể tại tim (type II - Cardiac)Trong thể tại tim (type II -Cardiac của TAPVR), các tĩnh mạch phổi kết nối trực tiếp vào xoang vành (Hình 1C) làm giãn xoang vành hoặc kết nối trực tiếp vào sau nhĩ phải ở thành sau (Hình 14). Trong quá trình siêu âm nếu thấy xoang vành giãn mà không thấy hình ảnh tồn tại tĩnh mạch chủ trên bên trái (LSVC) thì ta nên nghi ngờ sự có mặt của bất thường hồi lưu tĩnh mạch phổi (TAPVR) hoặc các kết nối tĩnh mạch bất thường khác. Hồi lưu bất thường tĩnh mạch phổi đổ vào tâm nhĩ phải có thể đánh giá được bằng siêu âm 2D độ phân giải cao kết hợp với Doppler màu và Doppler xung.

Hình 14: Hình ảnh hồi lưu bất thường tĩnh mạch phổi hoàn toàn thể tại tim ở một thai nhi có bất thường tim phức tạp (thất phải hai đường ra, thông liên thất, và isomerism). Phía sau hai tâm nhĩ có hình ảnh tĩnh mạch phổi phải (RPV) và tĩnh mạch phổi trái (LPV) đổ vào nhĩ phải (RA).
Thể dưới tim (type III - Infracardiac)Trong thể này cả 4 tĩnh mạch phổi đổ về tĩnh mạch hợp lưu phía sau tâm nhĩ (Hình 1D), hợp lưu này nối với một tĩnh mạch dọc xuống bất thường, tĩnh mạch dọc xuống này đi cùng với thực quản qua lỗ thực quản của cơ hoành rồi đổ vào hệ thống tĩnh mạch cửa. Điểm gặp nhau giữa tĩnh mạch cửa với tĩnh mạch dọc xuống sẽ rất khó nhận biết nếu siêu âm 2D thông thường. Siêu âm Doppler màu trên mặt cắt dọc sẽ thấy một mạch máu nhỏ vượt qua cơ hoành vào gan hướng dòng chảy từ trên xuống dưới (Hình 15), Doppler màu cho biết chiều của dòng chảy cùng chiều với động mạch chủ xuống, Doppler phổ sẽ cho phổ tĩnh mạch. Thể dưới tim thường thấy ở thai nhi có kiểu hình bên phải (right isomerism).

Hình 15: Thai nhi TAPVR thể dưới tim. Mặt cắt chẩn đoán tối ưu là mặt cắt dọc ngực bụng, dùng Doppler màu, ta thấy động mạch chủ xuống (DAo) nằm phía sau, song song phía trước động mạch chủ bụng là một mạch máu (mũi tên đỏ) có nguồn gốc từ ngực chạy vào gan. Mạch máu này chính là tĩnh mạch dọc xuống (vertical descending vein), cùng chiều dòng chảy với động mạch chủ xuống do vậy có cùng màu trên hình ảnh Doppler màu. Vị trí xuất phát của tĩnh mạch dọc xuống (vertical descending vein) là ở phía sau tim (mũi tên rỗng).

Hình 16: Hình ảnh siêu âm 3D (A) và hình ảnh B – flow (B) của thai nhi TAPVR thể dưới tim. Chú ý hình ảnh tĩnh mạch dọc xuống (vertical vein) song song với động mạch chủ xuống (DAO). HV: tĩnh mạch gan; DV: ống tĩnh mạch ; UV: tĩnh mạch rốn.Thể hỗn hợp (type IV: Mixed)Bất thường kết nối tĩnh mạch phổi toàn phần kiểu hỗn hợp (mixed) rất hiếm, mỗi tĩnh mạch phổi hoặc nhóm tĩnh mạch phổi phải và trái có thể kết nối bất thường với một tĩnh mạch khác. Ví dụ hai tĩnh mạch phổi phải ở thể trên tim (type I, Supracardiac), hai tĩnh mạch phổi trái ở thể dưới tim (type III, Infracardiac).Video tham khảo:
Video 1: Thể dưới tim của bất thường hồi lưu tĩnh mạch phổi (type III- Infracardiac TAPVR). Hai tĩnh mạch phổi phải và một tĩnh mạch phổi trái đổ vào tĩnh mạch hợp lưu ở sau tâm nhĩ trái.
Video 2: Thể dưới tim của bất thường hồi lưu tĩnh mạch phổi (type III- Infracardiac TAPVR). Tĩnh mạch dọc xuống chui qua cơ hoành đổ vào ống tĩnh mạch rồi vào tĩnh mạch gan.
Video 3: Thể dưới tim của bất thường hồi lưu tĩnh mạch phổi (type III- Infracardiac TAPVR). Tĩnh mạch dọc xuống chui qua cơ hoành.
Tài liệu tham khảo:
1. Alfred Abuhamad, Rabih Chaoui. Total Anomalous Pulmonary Venous connections. A practical guide to fetal echocardiography: normal and abnormal hearts -3rd edition (2016). 31: 720 -735.
2. Paula J. Woodward, MD, Anne Kennedy, MD, Roya Sohaey, MD. Total Anomalous Pulmonary Venous Return: Diagnostic Imaging: Obstetrics - 3rd Edition. (2016). 6: 420 – 423.
3. Nguồn video cung cấp bởi: Texas Children’s Hospital.Tất cả hình ảnh và số liệu đều được trích dẫn từ các tài liệu kể trên.Bài viết tổng hợp bởi Bs. Giáp Hoàng Anh – Phòng khám Siêu âm Công Đoàn Tỉnh Bắc Giang.Hiệu đính và bổ sung: Bs. Nguyễn Quang Trọng – Tổng thư ký Chi hội Siêu âm Việt Nam.