ắc tá tràng bẩm sinh (Congenital Duodenal Obstruction – CDO) là hậu quả của những sai sót trong quá trình phát triển phôi thai học

Xem thêm

Sarcoma mô mềm là loại u ác tính có nguồn gốc từ mô mềm cơ thể như: cơ, gân, mỡ ....

Xem thêm

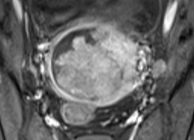
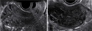
Ung thư biểu mô tuyến sợi tử cung (Uterine carcinosarcoma-UCS) là một loại ung thư phát triển trong tử cung

Xem thêm

Fetus in Fetu (FIF) là bất thường rất hiếm gặp của song thai một trứng, trong đó một thai không trưởng thành sống ký sinh trong cơ thể của thai bình thường

Xem thêm

Thai lạc chỗ ở gan (TOG) là một thể không thường gặp của thai trong ổ bụng (TTOB)

Xem thêm

Thai ngoài tử cung mạn tính (TNTCMT) là một thể hiếm gặp của thai ngoài tử cung ở tai vòi

Xem thêm

CLS: Báo cáo một trường hợp khiếm khuyết ống thần kinh hiếm gặp: Iniencephaly

Xem thêm

Tăng sinh mạch máu cơ tử cung - thông nối động tĩnh mạch mắc phải

Xem thêm