THAI LẠC CHỖ Ở GAN
BS Vũ Quốc Hùng* – BS Huỳnh Phượng Hải** – BS Hà Tố Nguyên*
*Khoa Chẩn đoán hình ảnh BV Từ Dũ
** Bộ môn CĐHA ĐHYD TPHCM
Download file PDF
MỞ ĐẦU:
Thai lạc chỗ ở gan (TOG) là một thể không thường gặp của thai trong ổ bụng (TTOB). TTOB rất hiếm gặp với tần suất 10.9/100.000 thai kì và 9.2/1000 các thai ngoài tử cung (TNTC). Vị trí làm tổ của TTOB thường là vùng chậu và rất hiếm khi ở gan [1].
Việc chẩn đoán TOG tương đối khó khăn vì nằm ở vị trí không thường gặp và không có triệu chứng lâm sàng đặc hiệu. Đa số các trường hợp được chẩn đoán khi đã có biến chứng chảy máu sau vỡ gan. TOG nói riêng và TTOB nói chung có tỉ lệ tử vong cao hơn thai ở vòi trứng 7.7 lần và thai trong tử cung 90 lần [2, 9].
Siêu âm ngã âm đạo và siêu âm bụng là lựa chọn đầu tay để chẩn đoán TOG. Cần tìm kiếm kĩ khi siêu âm ổ bụng ở bệnh nhân nghi có thai mà không tìm thấy túi thai trong tử cung hay vùng chậu trên siêu âm ngã âm đạo. CT scan và MRI có ích trong việc xác định vị trí thai trong những trường hợp khó và hoạch định kế hoạch can thiệp.
Chúng tôi xin báo cáo một trường hợp thai lạc chỗ ở gan được chẩn đoán và điều trị tại Bệnh viện Từ Dũ.
Từ khóa: Thai lạc chỗ ở gan (Hepatic Pregnancy), Thai trong ổ bụng (Abdominal Pregnancy), Thai ngoài tử cung (Ectopic Pregnancy).
CA LÂM SÀNG:
Bệnh nhân nữ 29 tuổi, PARA 1001, đến khám vì trễ kinh 20 ngày và thử Quickstick (+), khó chịu vùng thượng vị khi ăn uống khoảng 1 tuần trước nhập viện. Bệnh nhân không tiền căn hút thuốc, không đặt dụng cụ tránh thai trong tử cung, không tiền căn viêm nhiễm vùng chậu, có sanh mổ 1 lần.
Khám lâm sàng: Bụng mềm, ấn đau nhẹ vùng thượng vị
Siêu âm với máy HERAW9 Samsung:
+ Ngã âm đạo: Đường kính trước sau tử cung 31 mm, lòng tử cung trống với nội mạc 4 mm. Hai buồng trứng bình thường, hố chậu hai bên và cùng đồ quanh tử cung không thấy bất thường, không có dịch cùng đồ.
+ Ngã bụng: Gan trái ở hạ phân thùy IVb có một cấu trúc giống túi thai bờ dày kích thước 25 x 27 x 33 mm, bờ ngoài không đều, trung tâm có vùng hồi âm trống. Có tăng sinh mạch máu xung quanh túi thai dạng vòng lửa. Không quan sát thấy dịch tự do ổ bụng.
Chẩn đoán siêu âm: Theo dõi thai lạc chỗ ở gan.
MRI: Gan ở hạ phân thùy IVb có tổn thương 26 x 27 mm, với viền mô đặc dày 6-7 mm ở ngoại vi bao quanh cấu trúc dạng dịch 11 mm. Phần mô đặc có tín hiệu thấp trên T1W, cao nhẹ trên T2W, bắt thuốc tương phản mạnh không đồng nhất. Tổn thương có vị trí nằm rất sát nhánh trái tĩnh mạch cửa. Tĩnh mạch cửa và các tĩnh mạch gan bình thường.
Chẩn đoán MRI: Tổn thương ở hạ phân thùy IVb gan trái, gợi ý thai ngoài tử cung.
Cận lâm sàng: Beta HCG 27,135 mUI/ml
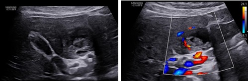
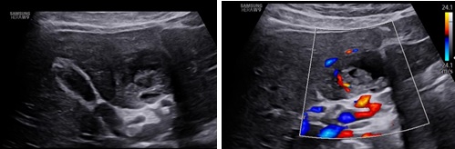
Hình ảnh siêu âm:

Hình 1, 2: Túi thai nằm ở hạ phân thùy IVb gan trái, giữa dây chằng tròn và túi mật. Tăng sinh mạch máu quanh túi thai, túi thai nằm rất sát một nhánh của tĩnh mạch cửa trái.
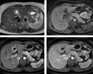
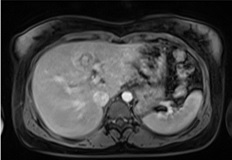
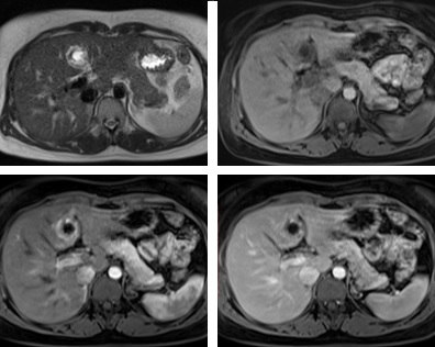
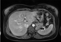
Hình ảnh MRI:

Hình 3, 4, 5, 6: theo thứ tự Axial HASTE, T1 FS, T1FS CM thì động mạch và thì tĩnh mạch: cho thấy có khối choán chỗ ở hạ phân thùy IV, cấu trúc: phần ngoại biên tín hiệu mô dày# 6-7mm, bao cấu trúc tín hiệu dịch d# 11mm, phần ngoại biên có tín hiệu thấp trên T1W, cao nhẹ trên T2W, bắt thuốc mạnh ở thì động mạch và vẫn còn tín hiệu cao nhẹ trên thì tĩnh mạch.

Hình 7: Tổn thương nằm sát nhánh trái tĩnh mạch cửa.
Hình ảnh siêu âm lại sau 6 tuần:

Hình 8, 9: Siêu âm lại sau 6 tuần trên thang xám và màu: khối thai viền mỏng dần với bờ không đều và những vùng hóa dịch trong thành.
Hình ảnh siêu âm lại sau 12 tuần:

Hình 10, 11: Siêu âm lại sau 12 tuần: lớp nguyên bào nuôi bong ra làm khối thai trở nên hỗn hợp hơn. Vẫn còn tín hiệu mạch máu quanh khối thai.
Bệnh nhân sau khi được chẩn đoán được theo dõi Beta HCG mỗi tuần, không có bất kì can thiệp ngoại khoa hay sử dụng Methotrexate. Sau 12 tuần, Beta HCG của bệnh nhân giảm còn 234 mUI/ml
Video:
BÀN LUẬN:
1. Định nghĩa, tần suất:
Thai ngoài tử cung là thai làm tổ ngoài khoang nội mạc chính của tử cung, chiếm khoảng 1 – 2 % thai kì và 2 – 5 % đối với bệnh nhân có hỗ trợ sinh sản. Trong đó thai ngoài tử cung ở vòi trứng chiếm 90% và chỉ khoảng 10% cho các vị trí khác : ở sẹo mổ lấy thai, đoạn kẽ, trong cơ tử cung, trong ổ bụng … [8]
Thai trong ổ bụng được định nghĩa là thai nằm trong khoang phúc mạc, bên ngoài cơ quan sinh sản của người phụ nữ. Bánh nhau có thể bám vào một hoặc nhiều tạng trong ổ bụng như: màng thanh mạc tử cung, túi cùng Douglas, mạc nối lớn, ruột, mạc treo ruột, mạc treo vòi trứng, màng phúc mạc vùng chậu hoặc bụng, gan, lách, cơ hoành [2, 3]. TTOB chiếm khoảng 1% các ca thai ngoài tử cung với tần suất tử vong cao hơn thai ở vòi trứng 7.7 lần và thai trong tử cung 90 lần [2].
Thai lạc chỗ ở gan là một thể ít gặp của TTOB, trong đó túi thai bám vào bề mặt gan và làm tổ, xâm lấn vào nhu mô gan. Vị trí thường gặp là ở mặt dưới gan phải, ít gặp hơn là ở gan trái hay mặt hoành của gan.
Theo nghiên cứu hồi cứu của Poole và các cộng sự trong 45 năm (1965 đến 2009) với 225 ca TTOB [3]. Vị trí của thai trong ổ bụng thường gặp nhất là cùng đồ quanh tử cung (24.3 %), trong đó chiếm tỉ lệ cao nhất là cùng đồ sau (87%). Tiếp đến là thai trong ổ bụng trên bề mặt thanh mạc tử cung và vòi trứng (23.9%) và còn lại là liên quan đến nhiều tạng (12.8%). TOG chỉ gặp trong 5,7% trường hợp TTOB, và thường nhất là ở mặt dưới của thùy gan phải. Theo một báo cáo năm 2018, mới chỉ có 39 ca TOG được báo cáo trong y văn tiếng anh từ năm 1952 [9].
2. Nguồn gốc sinh bệnh học:
Cơ chế được cho là do trứng sau khi được thụ tinh không đi qua tai vòi để vào buồng tử cung, mà theo dòng chảy của dịch ổ phúc mạc đi lên phần bụng trên qua rãnh đại tràng đến gan. Bề mặt gan là một cơ quan giàu mạch máu thích hợp cho sự làm tổ. Mặt dưới của gan phải cũng là phần thấp nhất của gan trong tư thế nằm ngửa. Điều này góp phần giải thích cho việc TOG thường làm tổ ở mặt dưới gan phải. Tuy nhiên gan không thể sinh ra phản ứng màng rụng để nuôi dưỡng thai nên TOG ít khi tiến triển qua tam cá nguyệt I.
3. Triệu chứng lâm sàng:
Dấu hiệu lâm sàng chính của TOG là đau bụng cấp và xuất huyết ổ bụng. Bệnh nhân có thể có các triệu chứng không điển hình như đau bụng vùng thượng vị, khó tiêu, ra huyết âm đạo. Cơn đau bụng cấp có thể ở vùng hố chậu hoặc một phần tư trên phải bụng và dễ dàng chẩn đoán nhầm với bệnh lý đường mật cấp và viêm dạ dày tá tràng [5, 9]. Đề kháng thành bụng và các triệu chứng của shock giảm thể tích cũng đã được ghi nhận [9]. Việc chẩn đoán trước mổ là rất khó. Hầu hết các trường hợp được chẩn đoán vì chảy máu do vỡ gan, nhưng tại thời điểm đó rất khó để cứu bệnh nhân [4].
4. Chẩn đoán:
Siêu âm ngã âm đạo là phương tiện đầu tay để chẩn đoán. Quan sát thấy lòng tử cung trống, vùng chậu quanh tử cung và hai vòi trứng bình thường kèm nang hoàng thể gợi ý thai ở vị trí không xác định. Các phương tiện chẩn đoán hình ảnh khác và kế hoạch theo dõi nện được đề ra, trong đó siêu âm ổ bụng kĩ tìm vị trí thai cần được làm trước vì dễ thực hiện.
Siêu âm ổ bụng: hình ảnh một túi thai có yolk sac hoặc phôi thai nằm trên bề mặt của gan có giá trị chẩn đoán cao. Hình ảnh siêu âm thường gặp là một khối hồi âm hỗn hợp với 1 khoảng hồi âm trống bên trong, với bờ ngoài không rõ và tăng sinh mạch máu xung quanh dạng vòng lửa.
CT scan: Hình ảnh tổn thương đậm độ trung bình thấp ở vùng ngoại vi, vùng trung tâm bờ không đều giảm đậm độ. Chụp với thuốc cản quang đường tĩnh mạch cho hình ảnh bắt thuốc mạnh ở ngoại vi thì động mạch và bắt thuốc nhẹ hơn ở thì tĩnh mạch. Vùng trung tâm không bắt thuốc cản quang. PET- CT với FDG cho thấy 1 tổn thương tăng chuyển hóa glucose ở vùng ngoại vi.
MRI: Hình ảnh tổn thương hình tròn với viền dày tăng tín hiệu trên T2W và giảm tín hiệu trên T1. Chụp với thuốc cản từ cho hình ảnh bắt thuốc mạnh dạng vòng không liên tục ở thì động mạch và vẫn còn bắt thuốc ở thì tĩnh mạch với trung tâm không bắt thuốc.
Nếu huyết động học ổn định, CT scan và MRI cần được thực hiện không chỉ để xác định vị trí làm tổ, mà còn cho thấy sự liên quan giải phẫu giữa khối thai và các mạch máu lớn và các cơ quan quan trọng. Từ đó giúp hoạch định kế hoạch theo dõi và phương pháp điều trị tốt nhất.
7. Điều trị:
Có nhiều phương pháp điều trị khác nhau đã được đưa ra cho thai lạc chỗ ở gan. Trong đó mổ hở cắt gan là phổ biến nhất, đặc biệt trong các trường hợp có tràn máu phúc mạc hoặc shock giảm thể tích. Một vài trường hợp mổ nội soi thành công cũng đã được báo cáo [9].
Phương pháp điều trị ít xâm lấn nhất trên bênh nhân có huyết động học ổn định là sử dụng methotrexate tiêm bắp [6]. Sử dụng methotrexate trước phẫu thuật hoặc sau phẫu thuật do tăng beta HCG kéo dài cũng đã được báo cáo [9].
Trong trường hợp chúng tôi báo cáo, khối thai ngoài thoái triển tự nhiên với mức Beta HCG giảm dần. Trong các y văn báo cáo bằng tiếng anh mà chúng tôi tìm được trên Pubmed, chưa có trường hợp nào TOG được điều trị thành công chỉ thông qua việc theo dõi sát mức Beta HCG mà không có can thiệp nào.
KẾT LUẬN:
Thai lạc chỗ ở gan là một bệnh cảnh hiếm gặp và nguy hiểm. Cần siêu âm ổ bụng kĩ khi nghi ngờ bệnh nhân có thai mà không tìm thấy thai trong tử cung. Việc chẩn đoán sớm trước khi có biến chứng vỡ gan có ý nghĩa cải thiện rất lớn trong việc điều trị và tiên lượng của bệnh nhân. CT scan và MRI là công cụ hỗ trợ đắc lực trong việc xác định vị trí chính xác của thai và các cấu trúc giải phẫu liên quan để lập kế hoạch điều trị.
Tài liệu tham khảo: