UNG THƯ BIỂU MÔ TUYẾN- SỢI TỬ CUNG
(UTERINE CARCINOSARCOMA)
Ths Phạm Thị Thanh Hải- Ths Hà Tố Nguyên
Khoa chẩn đoán hình ảnh Bệnh viện Từ Dũ
Download file PDF
MỞ ĐẦU
Ung thư biểu mô tuyến sợi tử cung (Uterine carcinosarcoma-UCS) là một loại ung thư phát triển trong tử cung. Ung thư biểu mô tuyến sợi tử cung có nghĩa là khi nhìn dưới kính hiển vi, khối u hiển thị các đặc điểm mô học của cả ung thư biểu mô nội mạc tử cung (carcinoma) và ung thư mô sợi (sarcoma)1. Ung thư biểu mô nội mạc tử cung bắt nguồn ở nội mạc tử cung, lớp mô bên trong của tử cung, trong khi ung thư mô sợi bắt đầu ở lớp cơ bên ngoài của tử cung.
Ung thư biểu mô tuyến sợi tử cung tử cung là một loại ung thư hiếm gặp, chiếm ít hơn 5% tổng số ca ung thư tử cung2. Ở Hoa Kỳ, khoảng 2/100.000 phụ nữ phát hiện ung thư biểu mô tuyến sợi tử cung hàng năm3. Khoảng 35% bệnh nhân sống sót sau năm năm sau khi chẩn đoán
Từ khoá: Ung thư tử cung (Uterine sarcoma), ung thư cơ tử cung (Leiomyosarcomas), ung thư mô đệm nội mạc tử cung (endometrial stromal sarcomas), ung thư mô đệm không biệt hoá (undifferentiated stromal sarcomas), ung thư biểu mô tuyến sợi tử cung (uterine carcinosarcoma)
BÁO CÁO CA LÂM SÀNG
Bệnh nhân 40 tuổi PARA 0000, đi khám vì rong kinh
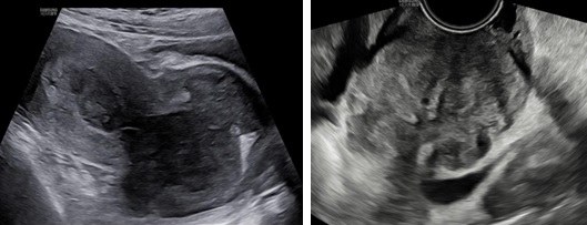
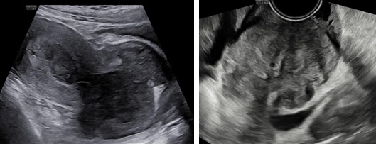
Siêu âm: Tử cung ngã trước, kích thước: 56 x 62 x 90 mm. Cơ tử cung mật độ đều, đồng nhất. Từ thành trước đoạn thân nhô vào lòng tử cung kéo dài tới cổ tử cung có khối echo dày không đồng nhất kích thước 64 x 81 x 70 mm, không rõ ranh giới với cổ tử cung và cơ tử cung. Trên Doppler màu khối tổn thương phần ở lòng tăng sinh mạch máu độ 2 và ở vùng cổ tử cung độ 4.
Kết luận: Theo dõi tổn thương lòng tử cung xâm lấn cổ tử cung
Hình 1: Hình siêu âm 2D ngã bụng (trái) và ngã âm đạo (phải) cho thấy tổn thương từ lòng tử cung lan tới cổ tử cung, không thấy ranh giới của khối này với cơ vùng cổ tử cung
Hình 2: Trên Doppler màu, khối trong lòng tử cung tăng sinh mạch máu mức độ 2

Hình 3: (trái: ngã âm đạo, phải: ngã bụng): Trên Dopple màu, phần tổn thương ở cổ tăng sinh mạch máu độ 4, không ranh giới giữa tổn thương và cơ vùng cổ tử cung
Video siêu âm
Kết quả bấm sinh thiết cổ tử cung: Nghi ngờ ung thư biểu mô tuyến sợi tử cung
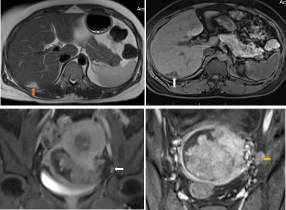
Kết quả MRI: Từ buồng nội mạc lan tới âm đạo có khối choán chỗ kích thước # 68 x 86 x 72 mm (trước sau- cao -ngang), tín hiệu trung gian trên T2W, thấp trên T1W, hạn chế khuếch tán, bờ ngoài u không đều, đa thuỳ, u xâm lấn không thấy cổ tử cung. U có cuống xuất phát từ vùng đáy tử cung. Sau tiêm Gd, u bắt thuốc tương phản mạnh không đồng nhất. Dọc vách chậu hai bên có vài hạch hình tròn kích thước # 9 x 15 mm, bờ ngoài không đều, bắt thuốc tương phản kém. Rải rác phúc mạc vùng chậu có vài nốt bất thường tín hiệu kích thước </= 17 x 22 x 15 mm, bờ đa cung, hạn chế khuếch tán, bắt thuốc tương phản không đồng nhất.Vùng phía sau gan ngay hạ phân thuỳ VIII có nốt bất thường tín hiệu kích thước # 27 x 20 mm, tín hiệu trung gian trên T2, thấp trên T1, bắt thuốc tương phản kém sau tiêm, khối này ấn lãm bờ gan
Kết luận: Hình ảnh gợi ý sarcoma cơ tử cung xâm lấn cổ tử cung. Chẩn đoán phân biệt: Ung thư nội mạc tử cung giai đoạn IVB (FIGO), hạch vách chậu hai bên dạng hạch di căn, nốt phúc mạc vùng chậu nốt ở sau gan phải ấn lõm bờ gan nghĩ mô u reo rắc
.jpg)
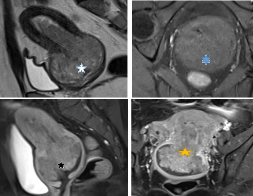
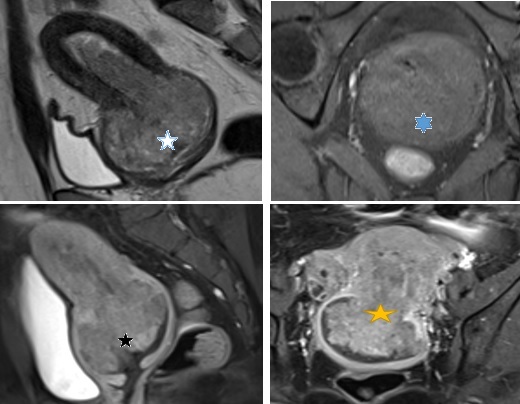
Hình 4: Hình trên trái T2W sagital thấy khối từ lòng tử cung lan xuống cổ tử cung, xâm lấn cơ vùng cổ tử cung. tổn thương có tín hiệu cao nhẹ không đồng nhất trên T2W (ngôi sao trắng). Hình trên phải, T1 FS trên măt cắt ngang thấy tổn thương tín hiệu giống cơ vùng cổ tử cung, không rõ ranh giới giữa tổn thương và cơ vùng cổ tử cung (ngôi sao xanh) . Hình dưới bên trái: sagital T1 FS sau tiêm Gd, tổn thương bắt thuốc tương phản mạnh không đồng nhất (ngôi sao đen). Hinh dưới phải: T1 FS coronal sau tiêm tổn thương bắt thuốc tương phản mạnh không đồng nhất ( ngôi sao vàng)

Hình 5: Hình trên trái: nốt reo rắc phúc mạc bờ gan hạ phân thùy VII, tín hiệu cao nhẹ trên T2 ( mũi tên cam); hình trên phải: sau tiêm Gd trên xung T1 vibe FS tổn thương bắt thuốc tương phản kém ( mũi tên trắng) ; Hình dưới trái: Nốt bắt thuốc phúc mạc vùng chậu trên hình T1 vibe FS sau tiêm Gd ( mũi tên trắng); Hình dưới phải: T1 FS Sau tiêm Gd hạch bắt thuốc tương phản không đồng nhất (mũi tên vàng)
Xét nghiệm: Bệnh nhân có thiếu máu (Hb:7.1 g/dl; Hct: 25.3%; MCV:63.7 fl; MCH: 28.1 g/dl)
Điều trị: Bệnh nhân được phẫu thuật cắt hoàn toàn tử cung hai phần phụ mạc nối lớn
Kết quả giải phẫu bệnh: Ung thư biểu mô tuyến sợi tử cung Grad 3, di căn
BÀN LUẬN
1. Tổng quan
Ung thư biểu mô tuyến sợi tử cung tử cung là những khối u hiếm gặp, chiếm dưới 5% tổng số các khối u ác tính ở tử cung. Những khối u này (trước đây được gọi là khối u Müllerian hỗn hợp ác tính) là những ung thư biểu mô không biệt hóa bao gồm các ung thư biểu mô nội mạc tử cung (carcinoma) và ung thư mô sợi (sarcoma) phát sinh từ một dòng nhân bản ác tính duy nhất. Chúng được coi là một dạng biến thể có nguy cơ cao của ung thư biểu mô tuyến nội mạc tử cung vì ung thư biểu mô tuyến có nhiều điểm tương đồng hơn về dịch tễ học, các yếu tố nguy cơ và biểu hiện lâm sàng với ung thư biểu mô nội mạc tử cung hơn so với ung thư mô sợi tử cung4. Cả hai loại ung thư đều có liên quan đến béo phì, vô sinh và sử dụng estrogen và tamoxifen ngoại sinh. Ngoài ra, tiền sử tiếp xúc với bức xạ vùng chậu dường như có liên quan đến tăng nguy cơ phát triển ung thư tử cung5. Ung thư biểu mô tuyến sợi tử cung xảy ra ở phụ nữ lớn tuổi (tuổi chẩn đoán từ 62 đến 67 tuổi)6.
2. Chẩn đoán
2.1 Lâm sàng
Phụ nữ bị ung thư biểu mô tuyến sợi tử cung có thể xuất hiện chảy máu âm đạo và đau kết hợp với tử cung lớn nhanh. Chảy máu âm đạo là triệu chứng phổ biến nhất. Khi khám lâm sàng, có thể sờ thấy khối u vùng chậu kèm theo khối nhô ra từ cổ tử cung. Có tới 15% bệnh nhân có tổn thương ở cổ tử cung có thể được xác định thông qua sinh thiết cổ tử cung, nạo nội mạc cổ tử cung hoặc cả hai7. Tuy nhiên, do tính chất xâm lấn của ung thư biểu mô tuyến sợi tử cung, trên 10% bệnh nhân sẽ có biểu hiện bệnh di căn khi chẩn đoán ban đầu và 60% lan ra ngoài tử trên chẩn đoán hình ảnh8.
2.2 Chẩn đoán hình ảnh
Đối với những phụ nữ nghi ngờ u tân sinh tử cung, siêu âm vùng chậu thường là phương tiện hình ảnh đầu tiên. So với nội mạc tử cung, ung thư biểu mô tuyến sợi tử cung thường có tăng âm trên siêu âm. Ngoài ra, rộng khoang nội mạc tử cung đã được mô tả8. Tuy nhiên, những phát hiện siêu âm không thể phân biệt ung thư biểu mô tuyến sợi tử cung với ung thư biểu mô tuyến nội mạc tử cung (endometrial adenocarcinoma)
Đối với những bệnh nhân có biểu hiện nghi ngờ bệnh ác tính ở tử cung, thường được thực hiện chụp cắt lớp vi tính (CT) hoặc chụp cộng hưởng từ với gadolinium (MRI) để đánh giá mức độ bệnh tại chỗ. Trên CT hoặc MRI, ung thư biểu mô tuyến sợi tử cung biểu hiện dưới dạng một khối lớn không đồng nhất giống polype và thường lan xuống kênh cổ tử cung và tăng bắt thuốc8,9. Cả hai phương tiện này cũng có thể phát hiện sự xâm lấn vào cơ tử cung, hạch liên quan và sự hiện diện của tổn thương di căn. Không có bất thường điển hình nào liên quan đến chẩn đoán ung thư biểu mô tuyến sợi tử cung, mặc dù thiếu máu lên đến 10% do xuất huyết âm đạo7.
Trong một nghiên cứu gồm 26 bệnh nhân của S. Giunchi11và cộng sự thấy rằng 24 phụ nữ (92%) đang trong thời kỳ mãn kinh. Tuổi trung bình của bệnh nhân là 68 tuổi (từ 44 đến 87). Xuất huyết âm đạo bất thường ở 21/ 26 phụ nữ (81%). Đường kính trung bình lớn nhất là 58 mm (từ 15 đến 145 mm). Khối u xuất hiện không đồng nhất ở 23/26 trường hợp (88%) với đường viền không đều ở 19/26 (73%), tăng sinh mạch máu mức độ 3 và 4 20/26 trường hợp (85%), Các vùng nang không đều chỉ được tìm thấy ở 4/26 (15%) bệnh nhân. Bóng lưng được quan sát thấy ở 3/26 (11%) bệnh nhân, tổn thương thâm nhiễm cả nội mạc tử cung và cơ tử cung trong 17/26 trường hợp (65%), tổn thương xuất hiện hình súp lơ trong 2/26 trường hợp (8%)
Yumiko O. Tanaka và cộng sự12 đã nghiên cứu hình ảnh cộng hưởng từ (MRI) của 17 trường hợp đã được xác nhận về mặt mô bệnh học là ung thư biểu mô tuyến sợi tử cung bao gồm kích thước, sự phát triển, tín hiệu, mức độ bắt thuốc và tổn thương bên ngoài tử cung trong mỗi trường hợp. Đường kính khối u tối đa là 11–165 mm (trung bình là 83 mm). Chín trường hợp (53%) có cuống (Hình 1) và tám trường hợp (47%) cho thấy sự phát triển trên diện rộng (Hình 2). Không có trường hợp nào cho thấy sự phát triển xâm lấn. Ba khối u cho thấy cường độ tín hiệu cao hơn và đồng tín hiệu đối với cơ tử cung trong 14 trường hợp trên T1WI. Vùng tín hiệu rất cao gợi ý xuất huyết chỉ thấy trong hai trường hợp. Trong hầu hết các trường hợp, cường độ tín hiệu của T2WI chủ yếu là cao, 15 trong số 17 trường hợp (88%). 8 trong số 16 trường hợp có vùng không bắt thuốc tương phản (50%) và 13 trong số 16 trường hợp có vùng bắt thuốc tương phản mạnh (81%). Các ung thư biểu mô tuyến sợi tử cung có tín hiệu cao trên T2WI, với tăng bắt thuốc tương phản từ là đặc điểm hình ảnh phổ biến nhất. Khối tổn thương di căn ngoài tử cung chỉ được quan sát thấy trong hai trường hợp (12%): di căn buồng trứng trong một trường hợp và lan tỏa qua phúc mạc trong hai trường hợp. Trong một trường hợp với cả phần phụ và trong phúc mạc, nhiều di căn phổi được mô tả bằng chụp X quang ngực đơn giản.
2.3 Sinh hoá
Tăng CA-125 trước phẫu thuật có thể là dấu hiệu của bệnh tiến triển nặng hơn. Trong một nghiên cứu hồi cứu trên 54 bệnh nhân, giá trị CA-125 trên 30 U / ml có liên quan đáng kể với xâm lấn sâu vào cơ tử cung (61% so với chỉ 39% ở bệnh nhân có CA-125 dưới 30 U / ml) và ở giai đoạn bệnh tiến xa hơn (62% so với chỉ 38%)10.
2.4 Mô bệnh học
Thành phần biểu mô ác tính (carcinoma) thường có nguồn gốc từ tuyến. Tuy nhiên, các thành phần không thuộc tuyến như tế bào vảy hoặc ung thư biểu mô không biệt hóa cũng xảy ra. Thành phần tuyến thường tương ứng với ung thư biểu mô dạng nội mạc tử cung và trong một số trường hợp hiếm gặp hơn được gọi là ung thư biểu mô loại 2 với hình thái tế bào dạng huyết thanh hoặc tế bào rõ ràng.
Việc phân biệt ung thư biểu mô tuyến sợi tử cung có thành phần trung mô rõ rệt (sarcoma phát triển quá mức) với sarcoma tử cung có thể khó khăn trên mô học13.
Đối với những phụ nữ có biểu hiện lâm sàng nghi ngờ bệnh ác tính ở tử cung, việc lấy mẫu nội mạc tử cung thông qua nạo sinh thiết nội mạc tử cung thường được thực hiện trước khi phẫu thuật triệt để. Vì ung thư biểu mô tuyến sợi tử cung phát sinh từ lớp nội mạc tử cung nên về mặt lý thuyết, nó dễ chẩn đoán hơn bằng cách lấy mẫu nội mạc tử cung hơn là sarcoma tử cung đơn thuần. Tuy nhiên, nhiều khi việc lấy mẫu cũng không giúp chẩn đoán ung thư biểu mô tuyến sợi tử cung15. Do đó, nếu lấy mẫu nội mạc tử cung âm tính nhưng nghi ngờ lâm sàng vẫn cao, thì cần phải làm thêm để chẩn đoán.
Vì chẩn đoán cuối cùng của ung thư biểu mô tuyến sợi tử cung dựa trên bằng chứng mô học gồm các tế bào carcinom và sarcoma có xâm lấn vào mô đệm, nên chẩn đoán hoàn chỉnh thường dựa trên đánh giá bệnh lý sau khi cắt bỏ tử cung.
3. Điều trị
Phẫu thuật bao gồm cắt tử cung toàn bộ, cắt vòi trứng hai bên, bóc tách hạch chậu và hạch cạnh động mạch chủ, và rửa phúc mạc tìm tế bào lạ kết hợp với hoá trị, xạ trị tuỳ trường hợp cụ thể.
4. Tiên lượng:
Yếu tố tiên lượng cho bệnh nhân carcinosarcoma tử cung bao gồm giai đoạn bệnh, tuổi bệnh nhân, tổn thương còn lại sau điều trị. Trong một loạt 121 bệnh nhân mắc carcinosarcoma được điều trị bằng phẫu thuật, sau đó là theo dõi và hoặc hóa trị, bất kể điều trị, tỷ lệ sống sót sau 5 năm cụ thể của bệnh là 59%, 22% và 9% đối với phụ nữ có giai đoạn Bệnh I / II, III, IV 16.
5. Kết luận
Ung thư biểu mô tuyến sợi tử cung cuối cùng là một chẩn đoán mô học. Rất khó phân biệt ung thư biểu mô tuyến sợi với ung thư nội mạc tử cung hoặc ung thư cơ tử cung dựa trên các triệu chứng lâm sàng hay chẩn đoán hình ảnh. Khi siêu âm nghi ngờ nhóm bệnh lý này, cần thực hiện thêm các phương pháp chẩn đoán hình ảnh cao cấp (CT/MRI) để loại trừ bệnh di căn. Vì như đã đề cập ở trên, khoảng 60% tổn thương đã lan ra ngoài tử cung tại thời điểm phát hiện ban đầu.
Tài liệu tham khảo