BÁO CÁO CA THAI TRONG THAI
FETUS IN FETU
BS Nguyễn Thị Ngọc Tú*-BS Huỳnh Chính*-BS Nguyễn Hữu Chí**-BS Hà Tố Nguyên*
*Khoa chẩn đoán hình ảnh BV Từ Dũ **Trưởng khoa siêu âm BV Nhi đồng 1
Download file PDF
TỔNG QUAN
Fetus in Fetu (FIF) là bất thường rất hiếm gặp của song thai một trứng, trong đó một thai không trưởng thành sống ký sinh trong cơ thể của thai bình thường còn lại. Có dưới 190 ca được báo cáo trong y văn và phần lớn được chẩn đoán sau sinh với tần suất khoảng 1/500.000 ca sinh sống [1].
Siêu âm là phương tiện chẩn đoán đầu tay và có giá trị. Trong đa số các trường hợp, thai sống kí sinh là một khối không đầu, không tim, có cột sống và đầu chi. Vị trí hay gặp nhất của FIF là sau phúc mạc (80%). Chẩn đoán phân biệt chủ yếu với bướu quái vì hình ảnh siêu âm tương tự nhau.
Chụp cắt lớp vi tính (CT) hoặc chụp cộng hưởng từ (MRI) thường được thực hiện sau sanh, giúp thu hẹp chẩn đoán phân biệt và đánh giá trước phẫu thuật. Mô bệnh học xác nhận chẩn đoán và điều trị được khuyến nghị là cắt bỏ hoàn toàn.
Chúng tôi báo cáo một ca FIF được chẩn đoán trước sinh tại bệnh viện Từ Dũ ở tuổi thai 31 tuần 4 ngày. Thai phụ đã được theo dõi và sinh tại bệnh viện. Em bé được chuyển đến bệnh viện Nhi Đồng 1 ngay sau sinh và được phẫu thuật thành công cắt bỏ khối FIF này lúc 12 ngày tuổi.
Từ khóa: Fetus in Fetu: thai trong thai, Parasitic twin: thai sống kí sinh, Retroperitoneal tumor: U sau phúc mạc, Teratoma: U quái, Abdominal mass: U bụng
CA LÂM SÀNG
Thai phụ 23 tuổi, PARA 0000, mang thai tự nhiên, lần đầu tiên đến khám tại bệnh viện Từ Dũ lúc thai 31 tuần 4 ngày vì siêu âm tuyến trước phát hiện một khối u bất thường trong ổ bụng của thai.
Siêu âm ngã bụng với máy HERA W9 (Samsung) ở các thời điểm 31 tuần 4 ngày, 34 tuần 3 ngày và 39 tuần. Ở hạ sườn trái và cực trên của thận trái có một khối không đồng nhất với kích thước tăng theo tuổi thai lần lượt là: 45x50x42mm, 48x58x50mm và 80x74x66mm. Bên trong khối này thấy hình ảnh vôi hoá có dạng của xương vòm sọ, xương đùi, xương sống và hình ảnh các cấu trúc này rõ khi tuổi thai lớn hơn. Trên Doppler màu, có một mạch máu nuôi khối này xuất phát từ động mạch chủ bụng của thai vật chủ với dạng sóng của động mạch rốn.
Chẩn đoán trước sinh: Thai trong thai
Sản phụ được mổ lấy thai lúc thai 39 tuần 2 ngày vì bất xứng đầu chậu, bé trai cân nặng 3500gr, APGAR: 8-9. Bé được chuyển sang bệnh viện Nhi đồng 1 ngay sau sinh.
Siêu âm bé sau sinh tại bệnh viện Nhi đồng 1 ghi nhận ở vùng sau phúc mạc bên trái có một khối không đồng nhất kích thước: 53x81x75mm với hình ảnh vòm sọ, cột sống, mô mở và xương dài bên trong và đẩy thận trái xuống hố chậu. Siêu âm chẩn đoán: Thai trong thai.
Bé được phẫu thuật cắt bỏ khối này lúc 12 ngày tuổi. Hình ảnh trên đại thể phù hợp với chẩn đoán trước sinh và trước mổ FIF: khối thai không phát triển hoàn chỉnh có cực đầu, cột sốt, chi và giới tính ngoài không xác định.
Hình 1: Thai 31 tuần 4 ngày, mặt cắt ngang và dọc bụng thai cho thấy một khối không đồng nhất nằm ở vùng hạ sườn trái dưới cơ hoành (hình tròn), đẩy thận trái xuống dưới (hình mũi tên).

Hình 2: Thai 34 tuần 2 ngày, mặt cắt ngang và dọc bụng cho thấy trong khối này có các cấu trúc giống vòm sọ (dấu sao) và cột sống và xương đùi (mũi tên)

Hình 3: Thai 39 tuần, mặt cắt ngang và dọc bụng, cho thấy trong khối này có các cấu trúc giống vòm sọ (dấu sao) và cột sống (mũi tên) được quan sát rõ hơn.

Hình 4: Siêu âm Doppler màu cho thấy khối này có một mạch máu nuôi xuất phát từ động mạch chủ và trên Doppler xung có phổ của động mạch rốn.

Hình 5: Siêu âm em bé sau sinh, ở sau phúc mạc và trên thận có một khối không đồng nhất với hình ảnh vòm sọ (dấu sao) và cột sống (mũi tên)
Video siêu âm
Hình đại thể sau phẫu thuật

Hình 6: Hình ảnh đại thể khi phẫu thuật em bé sau sinh lúc 12 ngày tuổi. Hình A: Khối bất thường có màng bao giống màng ối. Hình B: Xé màng bao bên trong có một khối thai phát triển không hoàn chỉnh với cực đầu (dấu sao), các chi (mũi tên). Hình C: giữa hai chi dưới có hình ảnh giới tính ngoài không xác định.
Video siêu âm: click here
BÀN LUẬN:
1. Thuật ngữ, định nghĩa, tần suất
Thuật ngữ “Thai trong Thai” được định danh bởi Willis[2] và được Johann Friedrich Meckel mô tả lần đầu tiên vào thế kỷ 18[2]. Đây là một biến chứng rất hiếm gặp của song thai một nhau hai ối, một thai phát triển không hoàn chỉnh sống kí sinh bên trong cơ thể của thai bình thường còn lại.
Tần suất khoảng 1/500.000 trẻ sinh sống và đa số được chẩn đoán sau sinh, bệnh nhân lớn tuổi nhất được ghi nhận là 47 tuổi [1].
2. Cơ chế sinh bệnh học
Có hai giả thuyết về cơ chế sinh bệnh[3]
2.1 Giả thuyết bướu quái: FIF là một dạng u quái biệt hoá rất cao
2.2 Giả thuyết song thai một nhau hai ối:
FIF là một thai kí sinh phát triển trong một thai chủ là song thai cùng trứng. Giả thuyết cho rằng FIF xuất hiện ở giai đoạn rất sớm, trong quá trình gập bụng của ba lá phôi nang ở tuần thứ 2 và thứ 3. Do sự phân chia không đều của khối tế bào mầm ở giai đoạn phôi nang, nên một số tế bào bị vùi bên trong một phôi bình thường. Thai kí sinh thường có lớp màng bao bọc và được nuôi bởi một mạch máu có nguồn gốc từ thai chủ. Trong các nghiên cứu đều ghi nhận nhiễm sắc thể đồ của FIF và thai kí chủ giống nhau.
Dù giả thuyết song thai được nhiều đồng thuận tuy nhiên không giải thích được các trường hợp nhiều thai cùng kí sinh trong một thai chủ (Mutiple fetus in fetu) và sự tồn tại kết hợp vừa FIF vừa u quái[4]
3. Chẩn đoán:
3.1 Siêu âm tiền sản
Siêu âm là phương tiện đầu tay, giúp xác định chẩn đoán với ưu điểm sẵn có, dễ thực hiện, có thể lặp lại nhiều lần với độ an toàn cao. Với những tiến bộ của siêu âm, chất lượng hình ảnh đã được nâng cao và giúp chẩn đoán chính xác trong thời gian sớm.
Hình ảnh trên siêu âm tiền sản của FIF là một khối chứa đầy dịch với phần đặc trôi nổi bên trong. Trong hầu hết các trường hợp, thai kí sinh không có não, không tim nhưng cột sống và các mầm chi gần như luôn hiện diện (91% và 82.5%). Các chi trên thường kém phát triển hơn các chi dưới và thường có giới tính ngoài.
Theo Lindsay[5] phân tích 95 ca được báo cáo từ năm 1999, 58 (63%) là nam và 34 (37%) là nữ và 3 trường hợp không xác định được giới tính. 89% các trường hợp chỉ có một thai nhi kí sinh và một ca rất đặc biệt với 11 thai kí sinh trong cùng một bệnh nhân. Vị trí hay gặp nhất là sau phúc mạc (72%), các vị trí ít gặp hơn là xương cùng cụt, trong nội sọ, ngực, miệng và cổ.
3.2 Chẩn đoán phân biệt:
Một khối u ở bụng thai nhi không đồng nhất kèm vôi hóa bên trong có thể là u quái, u nguyên bào thần kinh, u nang giả phân su và FIF.
- U quái thường ở vùng bụng dưới, buồng trứng và vùng cùng cụt, hiếm khi ở sau phúc mạc [5]. U quái dạng thai, khác với thai trong thai là không có cột sống. Tuy nhiên, điều không cần phải bàn cãi là u quái có tần suất phổ biến nhiều hơn so với FIF. Về mặt bệnh lý, FIF là mô biệt hóa cao của đốt sống, trong khi u quái là những tập hợp của các tế bào mầm không có biệt hóa thành cơ quan. FIF khá giống với u quái trưởng thành, tuy nhiên, điểm khác biệt chính so với FIF là u quái trưởng thành có khả năng phát triển độc lập và có khả năng ác tính [3].
- U nguyên bào thần kinh bẩm sinh, loại u tân sinh phổ biến nhất ở trẻ sơ sinh, có thể phát hiện từ bào thai, khối dạng mô, thường có vi vôi hóa, có thể có vùng xuất huyết.
- Viêm phúc mạc bào thai thể kết bọc, nang giả phân su, do thủng ruột trong giai đoạn bào thai, khối hỗn hợp trong phúc mạc, có vôi hóa, được mạc nối và các quai ruột bao bọc.
Đa số trường hợp, chẩn đoán FIF không được khẳng định trước khi có kết quả giải phẫu bệnh. Tuy nhiên, trường hợp ca của chúng tôi, không cần đưa chẩn đoán phân biệt vì hình ảnh của xương sọ và xương sống khá rõ.
3.3 Phương tiện chẩn đoán khác:
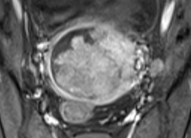
MRI được chỉ định trong những trường hợp siêu âm không rõ ràng, giúp thu hẹp chẩn đoán phân biệt. MRI an toàn đối với thai, giúp đánh giá bản chất của các thành phần bên trong khối, đánh giá chính xác vị trí của khối thai bên trong thai chủ, đánh giá tốt trong trường hợp thai phụ béo phì. Nhược điểm của MRI không sẵn có, đắt tiền, thời gian chụp lâu, và hạn chế ở người phụ nữ không thể nằm lâu, thai cử động nhiều, thai phụ sợ nhốt kín.
Với việc sử dụng CT, khả năng thu hẹp thành một chẩn đoán duy nhất đã cải thiện đáng kể. CT thường được sử dụng sau sinh. CT cung cấp thêm các thông tin về mối liên quan của khối FIF với các cấu trúc xung quanh. CT tái tạo 3D giúp xác định chẩn đoán và có kế hoạch phẫu thuật cho những trường hợp phức tạp.
4. Điều trị, tiên lượng
Thai trong thai hiện được xếp trong nhóm lành tính. Tuy nhiên, vẫn còn một số tranh cãi liên quan đến tiềm năng hoá ác tính về sau. Khi khối thai trong thai lớn, thai chủ có thể bị phát triển kém, chậm tăng trưởng, nhiễm trùng và thậm chí thiếu chức năng cơ quan.
Với điều trị phẫu thuật, giải phẫu và sinh lý bình thường của thai chủ có thể được phục hồi và loại bỏ tiềm năng ác tính. Sau mổ, bệnh nhân nên tiếp tục được theo dõi bằng chỉ dấu sinh học, hình ảnh học. Thời gian theo dõi ít nhất 2 năm để tránh bỏ sót bệnh lý ác tính bằng các chỉ dấu sinh học khối u bao gồm alpha-fetoprotein (AFP) và human chorionic gonadotropin hormone (HCG).
Hầu hết các báo cáo đều ghi nhận kết quả tốt sau mổ loại bỏ khối thai kí sinh.
5. Kết luận:
Thai trong thai là một dạng bệnh lý rất hiếm của song thai một nhau hai ối. Số ca được báo cáo rất ít và đa số được chẩn đoán sau sinh. Siêu âm tiền sản nghi ngờ khi thấy một khối dạng dịch bên trong có thành phần đặc và vôi hoá của xương. Hình ảnh cột sống là dấu hiệu rất đặc trưng gợi ý chẩn đoán FIF. Chẩn đoán phân biệt chủ yếu với u quái và lưu ý u quái là nhóm bệnh có tần suất cao hơn FIF.
Tài liệu tham khảo