logoweb logoweb logoweb
  • Đăng nhập
  • Đăng ký
  • Tiếng Việt
  • English

Quên mật khẩu?

ĐĂNG NHẬP SIÊU ÂM VIỆT NAM

Đăng ký thành viên

Thông tin tài khoản

Chọn hình
Chọn hình Xóa hình

Thông tin cá nhân

Khôi phục mật khẩu

  • Giới thiệu
    • Lịch sử phát triển
    • Ban thường vụ nhiệm kỳ II
    • Ban chấp hành nhiệm kỳ II
    • Hội viên
    • COE
  • Hội nghị - Hội thảo
    • Hội nghị trong nước
    • Hội nghị quốc tế
    • Thông báo
    • Tin y khoa nổi bật
    • Tài liệu hội nghị
  • Bài giảng
    • Tổng quát
      • Gan
      • Lách
      • Tụy
      • Tiêu hóa
      • Hệ niệu
    • Siêu âm đàn hồi
    • Tim
    • Mạch máu
      • Động mạch não ngoài sọ
      • Chi trên
      • Chi dưới
      • Động mạch chủ bụng
      • Động mạch thận
    • Cơ xương khớp
    • Phần mềm
    • Sản khoa
    • Phụ khoa
    • Nhi khoa
  • Ca lâm sàng
    • Tổng quát
      • Gan
      • Lách
      • Tụy
      • Tiêu hóa
      • Hệ niệu
    • Tim
    • Mạch máu
      • Động mạch não ngoài sọ
      • Chi trên
      • Chi dưới
      • Động mạch chủ bụng
      • Động mạch thận
    • Cơ xương khớp
    • Phần mềm
    • Sản khoa
    • Phụ khoa
    • Nhi khoa
  • Nghiên cứu
    • Tổng quát
      • Gan
      • Lách
      • Tụy
      • Tiêu hóa
      • Hệ niệu
    • Tim
    • Mạch máu
      • Động mạch não ngoài sọ
      • Chi trên
      • Chi dưới
      • Động mạch chủ bụng
      • Động mạch thận
    • Cơ xương khớp
    • Phần mềm
    • Sản khoa
    • Phụ khoa
    • Nhi khoa
  • Tư vấn
  • COE
  • Liên hệ

Ca lâm sàng

  • Tổng quát
    • Gan
    • Lách
    • Tụy
    • Tiêu hóa
    • Hệ niệu
  • Tim
  • Mạch máu
    • Động mạch não ngoài sọ
    • Chi trên
    • Chi dưới
    • Động mạch chủ bụng
    • Động mạch thận
  • Cơ xương khớp
  • Phần mềm
  • Sản khoa
  • Phụ khoa
  • Nhi khoa
CLS: Thai trong ổ bụng
  • Sản khoa
  • 21/07/2020

CLS: Thai trong ổ bụng

Xem thêm
Báo cáo loạt ca: Hội chứng không lá van động mạch phổi
  • Sản khoa
  • 01/07/2020

Báo cáo loạt ca: Hội chứng không lá van động mạch phổi

Xem thêm
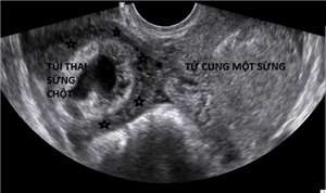
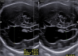
CLS: Thai ở sừng chột tử cung
  • Sản khoa
  • 25/06/2020

CLS: Thai ở sừng chột tử cung

Xem thêm
CLS: Xuất huyết nội sọ trong thai kỳ
  • Sản khoa
  • 16/06/2020

CLS: Xuất huyết nội sọ trong thai kỳ

Xem thêm
Thai ngoài tử cung ở buồng trứng
  • Sản khoa
  • 15/05/2020

Thai ngoài tử cung ở buồng trứng

Xem thêm
Báo cáo loạt ca bệnh TBS ở thai nhi có hai đại động mạch song song: tiếp cận chẩn đoán phân biệt
  • Sản khoa
  • 23/03/2020

Báo cáo loạt ca bệnh TBS ở thai nhi có hai đại động mạch song song: tiếp cận chẩn đoán phân biệt

Xem thêm
Nang bạch huyết: Báo cáo loạt ca
  • Sản khoa
  • 05/03/2020

Nang bạch huyết: Báo cáo loạt ca

Xem thêm
Báo cáo CLS: xoắn vòi trứng đơn độc
  • Phụ khoa
  • 26/02/2020

Báo cáo CLS: xoắn vòi trứng đơn độc

Xem thêm
<12345>

Chi hội Siêu âm Việt Nam

Trụ sở: 69 Nguyễn Huệ, Thành Phố Huế

Điện thoại: 02343 824 285

Số tài khoản: VND : 0011004319644, USD : 0011374319643.

Tên TK: Chi hội siêu âm Việt Nam, Ngân hàng VCB chi nhánh Hà Nội

Bản quyền website thuộc Chi hội siêu âm Việt Nam

Giấy phép số:

Liên kết

  • 80
  • 384
  • 1876823
© 2020 Chi hội Siêu Âm Việt Nam.